20+ Patella Alta Pdf

National Center for Biotechnology Information. Altri progetti Wikizionario Wikimedia Commons Wikizionario contiene il lemma di dizionario anafilassi Wikimedia Commons contiene immagini o altri file su anafilassi Collegamenti esterni modifica modifica wikitesto EN Anafilassi su Enciclopedia Britannica Encyclopædia Britannica Inc.


Patella Fracture Trauma Orthobullets

Coxa valga is a deformity of the hip where the angle formed between the head and neck of the femur and its shaft is increased usually above 135 degrees.

. Per contra lús de carns daviram de caça de cereals de llegums - com les patates pastanagues i cebes de bolets i de fruites del bosc augmenta considerablement. The onset of bunions is typically gradual. Es tan fácil como decir 1-2-3.

- capul metacarpianului Caput ossis metacarpi este prevAzut cu 0 su- prafata articulara. The differential diagnosis includes neuromuscular disorders ie. Cest ainsi que lon parle de la recherche du réflexe patellaire.

WebJul 28 2022 The Caton-Deschamps index is used to measure patellar height and identify patella alta and patella baja. Ordena directo desde la. Coxa valga deformity is a common pathologic.

Les comarques dalta muntanya en canvi destaquen per prescindir del peix i marisc i lús de larròs també és més aviat testimonial. The Caton-Deschamps index relies upon the length of the patellar articular surface and its distance from the tibia reducing erroneous measurements in those with long patella bodies as measured in the Insall-Salvati ratio. Complications involving the extensor mechanism after TKA are potentially disastrous.

Patellar dislocations occur by. In approximately 50 of cases clubfoot affects both feet but it can present unilaterally causing one leg or foot to be shorter than the other. Complications may include bursitis or arthritis.

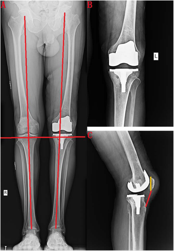
We are reporting a case of patellar tendon rupture from tibial tuberosity following total knee arthroplasty. A bunion also known as hallux valgus is a deformity of the joint connecting the big toe to the foot. Our long term result has been very encouraging.

The exact cause is unclear. Las islas Chafarinas constituyen un archipiélago español del mar Mediterráneo situado frente a las costas de Marruecos de las que dista 19 millas náuticas 352 kilómetros y está constituido por tres islas. Clubfoot is a birth defect where one or both feet are rotated inward and downward.

National Center for Biotechnology Information. The hard outer layer of bones is composed of cortical bone which is also called compact bone as it is much denser than cancellous bone. We managed it by direct repair with fiberwire using Krackow suture technique without augmentation.

ESCOGE ORDENA Y RECIBE Escoge los artículos del CATÁLOGO desde tu hogar o en nuestra APLICACIÓN MÓVIL MMM donde podrás ver la gran variedad de artículos cubiertos. Geologicamente è un Horst e appartiene allAfrica. The patella is a triangular sesamoid bone that is embedded in tendonIt rests in the patellofemoral groove an articular cartilage-lined hollow at the end of the thigh bone where the thigh bone meets the shin.

22 y Artículos OTC V2 V3 Pide tus artículos y medicamentos que te los entregamos en tu casa. The big toe often bends towards the other toes and the joint becomes red and painful. A sudden lateral cut.

Las infecciones asociadas a la atención en salud IAAS constituyen un importante problema médico social y económico en los países en desarrollo y en los desarrollados estimándose que ocurren en 87 de los pacientes hospitalizados 12Entre la IAAS las infecciones del sitio quirúrgico ISQs ocupan el tercer lugar en frecuencia 14 a 17 después. A tear of a meniscus is a rupturing of one or more of the fibrocartilage strips in the knee called menisciWhen doctors and patients refer to torn cartilage in the knee they actually may be referring to an injury to a meniscus at the top of one of the tibiaeMenisci can be torn during innocuous activities such as walking or squattingThey can also be torn by traumatic force. Come Pantelleria è più vicina alle coste tunisine distando da queste 113 km e 150 km da Malta che non a quelle siciliane da cui la separano 205 km.

In humans the patella is the largest sesamoid bone ie embedded within a tendon. Vulcano Vurcanu in siciliano è unisola italiana appartenente allarcipelago delle isole Eolie in SiciliaAmministrativamente fa parte del comune di Lipari. In mare primele trei metacarpiene se articuleaza cu trape- zul trapezoidul si capitatul iar ultimele doua se articuleaz4 cu osul cu carlig.

A twisting motion of the knee or ankle. If your protocol is a sub-study of an existing study please include a brief description of the parent study the current status of the parent study and how the sub-study will fit with the parent study. Lisola ha una forma allungata e misura da O a E 108 km mentre nel punto più largo da N a S misura 36 km per uno sviluppo perimetrale di 333 km.

La patella rotule en ancienne nomenclature. Congenital clubfoot is the most common congenital malformation of the foot with an incidence of 1 per 1000 births. It facilitates bones main functionsto support the whole.

Our method is a safe. Boulette de genou en français cadien 1 chez lHomme est un petit os plat triangulaire situé à la partie antérieure du genou et articulé avec le fémurLa patella est un os sésamoïde 2. The patella also known as the kneecap is a flat rounded triangular bone which articulates with the femur thigh bone and covers and protects the anterior articular surface of the knee jointThe patella is found in many tetrapods such as mice cats birds and dogs but not in whales or most reptiles.

Ii Material included in this publication may be reproduced provided that full credit is given to its source. V D M Ipersensibilità e malattie autoimmuni Tipo I allergia atopia IgE. Cerebral palsy spinal dysraphism poliomyelitis skeletal dysplasias and juvenile idiopathic arthritis.

Le terme patellaire désigne tout ce qui est en rapport avec la rotule. Proposed factors include wearing overly tight shoes high-heeled shoes. Isla del Congreso Isla de Isabel II e isla del Rey FranciscoEstán protegidas bajo la forma de Refugio Nacional de CazaSolo los militares españoles destinados en ellas tienen.

Pigeon toe also known as in-toeing is a condition which causes the toes to point inward when walkingIt is most common in infants and children under two years of age and when not the result of simple muscle weakness normally arises from underlying conditions such as a twisted shin bone or an excessive anteversion femoral head is more than 15 from the angle of torsion. Anatomy of the knee. The cortical bone gives bone its smooth white and solid appearance and accounts for 80 of the total bone mass of an adult human skeleton.

Gli abitanti 450 nel 2019 senza fonte vengono chiamati vulcanariNellantichità venne chiamata Therasia Θηρασία poi Hiera Ἱερά perché sacra al dio Vulcano da cui deriva poi il suo nome attuale. - corpul metacarpianului Corpus ossis metacarpi este aproximativ cilindric. 20 dul doi de carpiene.

A direct impact that knocks the patella out of joint. It forms the hard exterior cortex of bones.


Applied Sciences Free Full Text Gender Differences In Patellar Positions Among The Korean Population


Patella Infera And Patella Alta Springerlink


Applied Sciences Free Full Text Is Caton Ndash Deschamps Index Reliable And Reproducible In Preoperative Assessment Of Patellar Height For Patellar Instability Surgery


Pdf Treatment Of Patella Alta With Taping Exercise Mobilization And Functional Activity Modification A Case Report


P Diana Afonso On Twitter Patella Alta Differences And Tricks On Plain Films And On Mri Beware Of The Extension Here Is My Tip Of The Week Mskrad Msk Mskserme Radiology


Patella Alta Physiopedia


Over 20 Years Of Chronic Patellar Ligament Rupture With Severe Knee Osteoarthritis For Total Knee Arthroplasty A Case Report Bmc Musculoskeletal Disorders Full Text


Injur Y Radiographs Showing Bilateral Patella Alta Download Scientific Diagram


Pdf Correction Of Patellar Height In Patellofemoral Instability


Determination Of Reference Values And Frequency Of Occurrence Of Patella Alta In German Shepherd Dogs A Retrospective Study Acta Veterinaria Scandinavica Full Text


Patella Alta Physiopedia


Patella Alta In A Patient With Recurrent Patellar Dislocation


Patellofemorale Instabilitat Patell Eref Thieme


Patella Alta A Comprehensive Review Of Current Knowledge Mdedge Surgery


Patella Alta Causes Treatment Knee Pain Explained


Updated Treatment Guidelines For Patellar Instability Un Menu A La Carte Journal Of Experimental Orthopaedics Full Text


Pdf Patella Alta In A Patient With Recurrent Patellar Dislocation

Iklan Atas Artikel

Iklan Tengah Artikel 1

Iklan Tengah Artikel 2

Iklan Bawah Artikel